혹시 양치질을 하다가 치석이 떨어진 적 있으신가요? 그렇게 떨어진 자리에 혹시 구멍도 보이시나요? 그렇다면 이 글을 끝까지 읽어보시는게 도움이 되실텐데요. 오늘은 치석 떨어짐 구멍 생기면 채우는 방법에 대해 알려드리겠습니다.

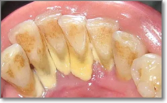
치석 떨어짐 구멍
먼저 치석이 떨어지면 구멍이 생기는 이유에 대해 알려드리겠습니다.
치석은 오랜 시간 쌓이면서 잇몸과 치아 사이를 가리고 있던 돌 같은 물질입니다. 이 치석이 갑자기 떨어지거나 스케일링으로 제거되면 그동안 가려져 있던 치아뿌리나 잇몸 틈이 드러나면서 공간(구멍)이 생긴 것처럼 보일 수 있어요.
특히 아래와 같은 경우라면 구멍이 더 쉽게 생길 수 있습니다:
- 오랫동안 스케일링을 하지 않아 잇몸이 치석에 눌려 있던 경우
- 치주염이 진행되어 잇몸 뼈가 약해진 상태
- 치아 사이 틈이 넓은 구조
- 치석 제거 후 제대로 된 관리가 안 된 경우
이러한 치석 떨어짐으로 인한 구멍은 방치하면 더 큰 문제를 일으킬 수 있는데요. 이물질이 계속 끼고 충치나 잇몸염증으로 발전할 가능성도 높아지죠.

치석 떨어짐 구멍 방치해도 될까?
많은 분들이 치석을 제거하고 나서 이가 더 시리고 구멍이 보이면 '이거 괜히 건드린 거 아니야?'라고 걱정하실 수 있는데요.
하지만 사실 구멍이 생겼다기보단 치석 아래에 있던 원래의 치아 구조가 드러난 것일 뿐이며 다만 이 공간이 음식물이나 세균에 노출되면 문제가 생기므로 그대로 방치하기보단 적절한 조치를 취하는 게 중요합니다.
치석 떨어짐 구멍 채우는 방법
첫 번째로 플러그 또는 레진으로 채우는 방법입니다. 구멍이 작지만 음식물이 자주 끼거나 시린 증상이 심한 경우에는 치아색의 레진으로 메워주는 방법을 씁니다. 심미적으로도 깔끔하고 시림 현상을 줄이는 데 도움이 됩니다.
두 번째로 잇몸이 많이 내려가서 생긴 구멍이라면 스케일링 후 치주 치료를 통해 잇몸 회복을 유도하거나 잇몸이식을 진행하기도 합니다.
세 번째로 잇몸이 많이 손상됐거나 치아 사이 틈이 큰 경우에는 부분 교정이나 크라운 등으로 공간을 메우는 방법도 고려됩니다.

주의사항
만약 치석 떨어짐 구멍이 걱정되신다면 아래 주의사항을 숙지 하시길 바랍니다.
- 칫솔질을 너무 세게 하지 말고, 부드러운 칫솔 사용
- 치실과 치간칫솔로 이물질이 끼지 않게 관리
- 정기적인 스케일링으로 치석 재발 방지
- 시린 증상이 지속되면 반드시 치과 방문
- 절대 손으로 만지거나 날카로운 도구로 건드리지 않기
마무리
치석이 떨어지고 구멍이 생기면 처음엔 당황스럽지만 대부분은 적절한 치료와 관리로 회복이 가능합니다. 특히 조기에 대응하면 더 큰 잇몸병이나 충치를 예방할 수 있으니 이런 증상이 느껴지신다면 치과 진료를 미루지 마세요. 꼭 정확한 진단을 받고 내 치아에 맞는 맞춤 치료를 받는 것이 중요하니깐요. 지금 내 치아 상태 괜찮은가요? 거울로 한 번 확인해보세요!
2025.03.25 - [건강정보] - 스케일링 보험 적용 가격 미적용 차이점 횟수는?
스케일링 보험 적용 가격 미적용 차이점 횟수는?
치과 가면 제일 먼저 권유받는 시술 중 하나가 바로 스케일링입니다. 치아에 붙은 치석을 제거해주는 이 시술!누구나 받아야 하는 기본적인 관리지만.. "이거 보험 되나요?"하고 물어보는 분들
nochong.co.kr
2025.03.19 - [분류 전체보기] - 스케일링 무료 대상 기간 실비보험 가능할까?
스케일링 무료 대상 기간 실비보험 가능할까?
많은 분들이 치과에서 스케일링을 받을 때 보험 적용이 되는지, 혹은 무료로 받을 수 있는지 궁금해하시죠?또한, 실비보험으로 보장받을 수 있는지도 많이들 궁금해하는데요. 오늘은 스케일링
nochong.co.kr
'건강정보' 카테고리의 다른 글
| 아기 구내염 증상 전염 확률 빨리 낫는법 팁 정리 (0) | 2025.04.14 |
|---|---|
| 리스테린 종류 효능 차이점 사용방법 몽땅 정리 (0) | 2025.04.08 |
| 스케일링 보험 적용 가격 미적용 차이점 횟수는? (0) | 2025.03.25 |
| 잇몸 뼈이식 비용 통증 알아본 후기 (1) | 2025.03.13 |
| 치아 블랙트라이앵글 원인 치아 틈 벌어짐 해결방법은? (1) | 2025.03.06 |