여러분들은 옴이라는 병을 알고 계신가요? 옴이란, 개선충이라는 피부 기생충에 의해 발생되는 질환으로 개선충의 이름을 따서 개선이라고도 불립니다. 오늘은 옴 초기증상 물린자국 확실한 치료방법에 대해 알려드릴게요.

옴 초기증상
먼저 옴이 걸렸을때 초기증상에 대해 알려드릴게요. 옴 초기증상은 대부분 가려움으로 나타납니다. 특히 밤에 활동을 활발히 하기 때문에 낮보다는 밤에 가려운 게 특징인데요. 때문에 밤에 가려움이 많이 나타난다면 조심해야 합니다.
또한, 발진의 형태가 여드름처럼 보이는 것이 일반적이며 성인인 경우 손, 손가락 사이, 겨드랑이, 유두 그너, 엉덩이, 허리, 어깨뼈, 가슴 등에 나타나는 경우가 대부분이며 어린아이의 경우 두피, 얼굴, 목, 손바닥 등에 나타난다고 합니다.

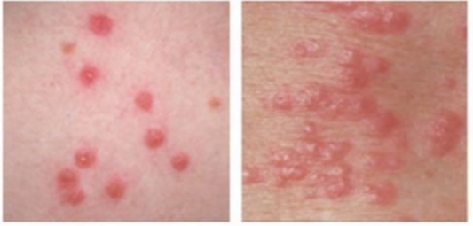
옴 물린자국
옴 물린자국은 굴처럼 길쭉한 형태로 자국이 생길 수 있는데요. 보통 1CM 이상의 길이로 굴이 나타나며 육안으로 확인이 가능한 굴의 형태로 나타나게 됩니다. 아래의 사진을 참고하시기 바랍니다.

옴 치료방법
옴에 걸렸을 때 치료방법은 상당히 어렵다고 하는데요. 일단 의심되는 피부 부위의 조직을 긁어 채취한 뒤 옴 진드기를 확인하여 진단 후 굴잉크 검사를 하게 됩니다. 의심되는 부위에 잉크를 발라 문지른 다음 알코올 솜으로 닦고 옴에 감염되었다면 피부에 지그재그 모양의 선이 나타난다고 하는데요.
만약 본인이 옴이 맞다면 1% 린덴 로션이나 크림을 가려움이나 병변이 있든 없든 전신에 모두 골고루 발라줍니다. 또한, 샤워를 깨끗하게 하며 재감염을 막기 위해 같이 살고 있는 사람들도 같이 치료를 해야 합니다. 또한, 전문의의 처방을 받아 약을 꾸준히 복용해야 하며 옴이 옮기는 이유 중 가장 큰 이유가 성관계인데 관계 전에는 상대방 피부에 굴 같은 상처나 손가락 사이 상처 등이 없는지 확인하셔야 합니다.

그리고 사용한 침구, 옷은 삶아주는 게 좋고 살충제도 뿌려 알까지 모두 없애는 게 좋습니다. 빠른 치료를 위해서는 성관계는 물론 단순한 피부 접촉도 피하셔야 하니 참고하시기 바랍니다.
감사합니다.
2023.08.08 - [건강정보] - 다이어트 도시락 추천 가성비 좋은 도시락은?
다이어트 도시락 추천 가성비 좋은 도시락은?
다들 여름휴가 대비 다이어트 잘하고 계신가요? 오늘은 다이어트를 위해 식단조절을 하시는 분들에게 유용할 다이어트 도시락 추천 가성비 좋은 도시락에 대해 알려드리도록 할게요! 다이어트
nochong.co.kr
'건강정보' 카테고리의 다른 글
| 다이어트 소주 안주 칼로리 낮고 맛있는 안주 TOP 5 (1) | 2023.09.08 |
|---|---|
| 칼로리 낮은 과자 다이어트에 좋은 간식 TOP 5 (0) | 2023.08.24 |
| 다이어트 도시락 추천 가성비 좋은 도시락은? (0) | 2023.08.08 |
| 허벅지 얇아지는법 남자 여자 모두 다 가능! (0) | 2023.08.02 |
| 앞머리 탈모 확인하는 법 초기 증상은? (0) | 2023.07.27 |